ご予約・お問い合わせ
03-5647-7377
患者さま以外の方03-5647-7260
menu
close
Case
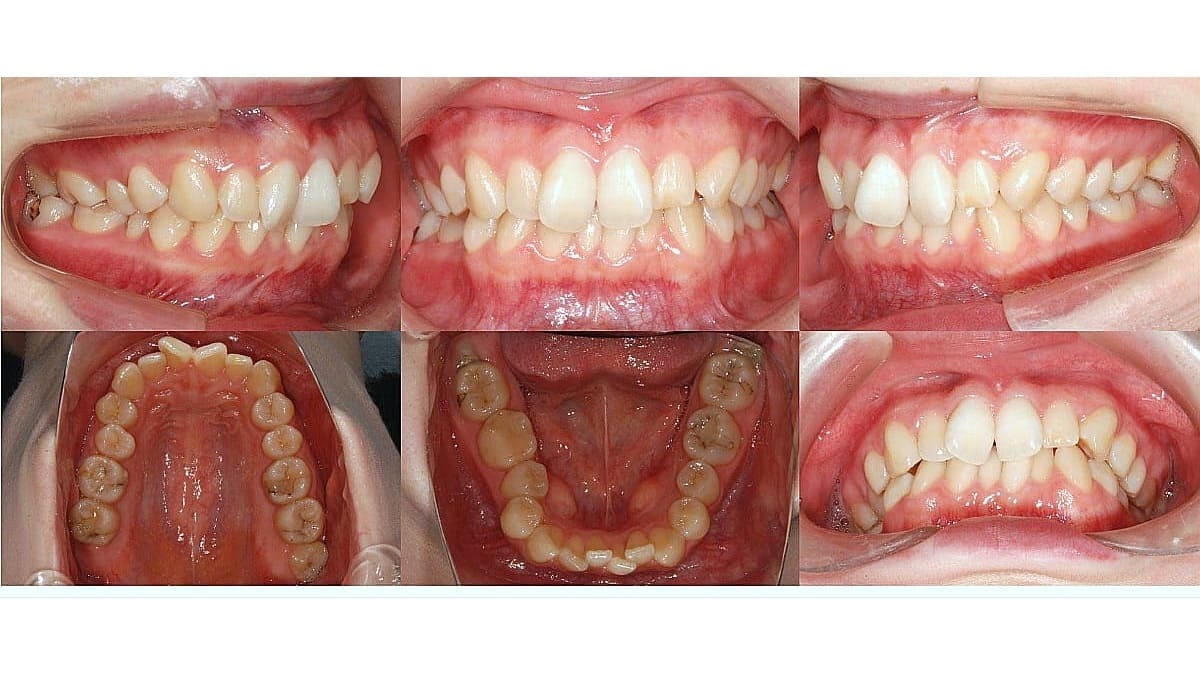
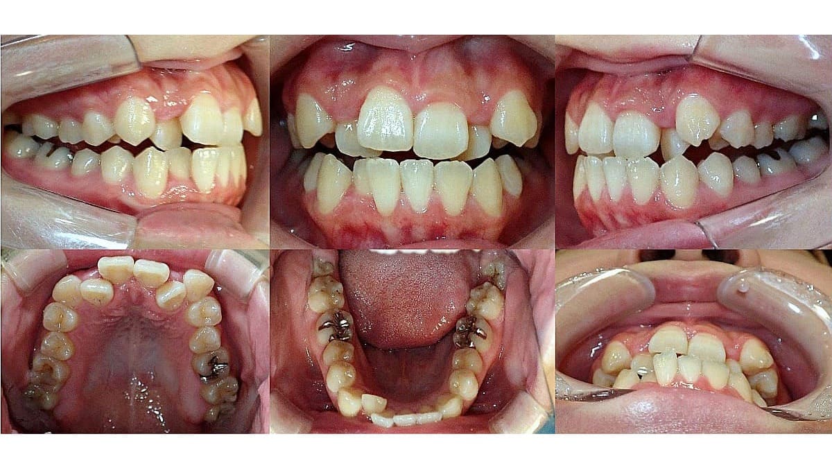
亀有矯正歯科の症例一覧です。当院で扱った治療を紹介いたします。
葛飾区亀有の矯正専門クリニック。噛み合わせと将来の健康を見据えた矯正治療に加え、ホワイトニングや点滴療法などの審美メニューもご用意。歯並びも口元の美しさも、トータルでサポートします。
ご予約はこちら
不定休(詳細はカレンダーをご確認ください)
〒125-0061東京都葛飾区亀有4丁目4−16日神パレステージ亀有
JR亀有駅 徒歩10分
JR亀有駅よりバス/バス停「曳舟十四橋」目の前
専用駐車場あり(3台分)
WEB予約
24時間受付中
患者様以外の方はこちらからどうぞ
矯正歯科治療は、公的健康保険の対象外となる自由診療です。 治療内容、使用する装置、治療期間、通院回数、費用は、症例や治療方針により異なります。 また、痛みや違和感、虫歯・歯周病、歯根吸収、歯肉退縮、治療期間の延長、後戻りなどのリスク・副作用が生じる可能性があります。詳しくは各診療ページをご確認ください。
矯正歯科治療は、公的健康保険の対象外となる自由診療です。 治療内容、使用する装置、治療期間、通院回数、費用は、お口の状態や治療目標により異なります。