医院情報
患者さま一人ひとりに
寄り添う
矯正専門の
歯科医療を提供
亀有矯正歯科では、患者さま一人ひとりのお悩みやライフスタイルに寄り添った矯正治療をご提案しています。噛み合わせは、歯並びだけでなく将来の健康にも深く関わる大切な要素です。口腔内スキャナーやCT・セファロなどの精密検査をもとに、現在の状態を正確に把握し、わかりやすい説明と無理のない治療計画で安心して通っていただける環境を整えています。
患者さま以外の方はこちらからどうぞ
03-5647-7260初めて受診される方へ
亀有矯正歯科では、まずはお口全体の状態や噛み合わせ、生活習慣まで丁寧に確認することを大切にしています。矯正専門の歯科医院として、ひとりひとりのご希望やライフスタイルに寄り添いながら、無理なく続けられる矯正治療をご提案しています
診療スケジュール
(診療日はカレンダーをご確認ください)
不定休
アクセス

〒125-0061
東京都葛飾区亀有4丁目4−16
日神パレステージ亀有
JR亀有駅 徒歩10分
JR亀有駅よりバス/バス停
「曳舟十四橋」目の前
専用駐車場あり
(3台分)
CONCERNS
お悩み別の治療
自分の歯並びタイプを知り、
適切な治療方法を確認しよう!
お悩みから治療を探す歯並びや噛み合わせのお悩みは、人それぞれ異なります。「ガタガタが気になる」「前歯が出ている気がする」「横顔を整えたい」など、見た目のお悩みから噛みにくさ・話しにくさといった機能面まで、原因も状態もさまざまです。当院では、お悩みのタイプごとに症状をわかりやすく分類し、一人ひとりに合った矯正治療をご提案しています。
亀有矯正歯科の特徴
噛み合わせから
人生を整える、
矯正専門歯科医院
亀有矯正歯科は、矯正治療を専門に行う歯科医院です。歯並びの見た目だけでなく、噛み合わせ・骨格・将来の口腔環境まで見据えた診断と治療を大切にしています。
一人ひとりのお悩みとライフスタイルに寄り添い、長期的な健康につながる矯正治療をご提案します。
01 Feature

矯正専門医による
精密診断と
噛み合わせ重視の治療
矯正を専門とする歯科医師が、現在の歯並びだけでなく「将来どう噛めるか」まで見据えた診断を行います。セファロレントゲンや歯科用CTを用いた精密検査により、骨格・歯の傾き・顎のバランスを多角的に分析。
早期治療による骨格へのアプローチも含め、生涯にわたり自分の歯でしっかり噛める噛み合わせを目指します。
02 Feature

各分野の専門医と
連携した
安心の矯正治療
より安全で質の高い矯正治療を行うため、外科・歯内療法・歯周病・インプラントなど、各分野の専門医と連携しています。
矯正中に生じるさまざまなリスクや問題にも専門的な視点で対応できる体制を整えています。矯正専門クリニックだからこそ実現できる、総合的で安心感のある治療環境です。
03 Feature

美しさと内側からの
健康を
支える
ケアメニュー
ホワイトニングや点滴療法など、審美面をサポートするメニューもご用意しています。クリーニングとあわせて行う点滴療法により、口元の美しさだけでなく体の内側からのコンディションづくりもサポート。
「整える」だけで終わらない、トータルバランスを考えた矯正環境を大切にしています。
亀有矯正治療のよくあるご質問
矯正治療の費用はどのくらいですか?
使用する装置や治療範囲によって異なります。分割払いにも対応しており、2年間までお支払いを分けることができます。詳しくはカウンセリングにてご案内いたします。
矯正の相談をして、当日に決めなくてはいけないですか?
いいえ、当日に決める必要はありません。カウンセリングでは歯並びの状態を確認し、治療法や期間・費用をわかりやすくご説明いたします。無理に治療をお勧めすることはありませんので、じっくりご検討ください。
通院頻度はどのくらいですか?
通常は月に1回程度の通院が必要です。マウスピース型の場合は、2〜3か月に一度の通院で済むこともあります。
矯正治療はどのくらいの期間がかかりますか?
歯並びの状態により異なりますが、大人の矯正では1年半〜3年程度が目安です。部分矯正の場合は半年〜1年ほどで完了するケースもあります。
大人になってからでも矯正は可能ですか?
もちろん可能です。歯や歯ぐきが健康であれば年齢に関わらず治療を始められます。見た目を気にせず始められる矯正方法も普及しています。
矯正治療後に歯並びが戻ってしまうことはありますか?
治療後は保定装置(リテーナー)を使用し、歯が元に戻るのを防ぎます。保定期間をしっかり守ることで、美しい歯並びを長期的に維持できます。
矯正治療は痛いですか?
装着直後や調整後に軽い痛みや違和感を感じることがありますが、通常は数日で落ち着きます。必要に応じて痛み止めも使用でき、生活に支障をきたすことはほとんどありません。
お支払いについて
亀有矯正歯科では、矯正専門歯科医院として、精密検査・診断をもとに、一人ひとりに合わせた治療計画と費用のご案内を行っています。治療内容・期間・費用については、事前にしっかりご説明し、ご納得いただいた上で治療をスタートしますのでご安心ください。
矯正治療・各種自費診療のお支払いにはクレジットカードのご利用も可能です。

ドクター紹介
亀有矯正歯科
院長 髙木豪馬


ひとりのご希望や
ライフスタイルに寄り添い
ながら
無理なく続けられる
治療をご提案
当院では、患者さまのみなさまが自然な笑顔で過ごせ、一生ご自身の歯で美味しく食事を楽しんでいただくことが大切だと考え治療を行なっていきます。噛み合わせが悪いことにより歯を将来失ってしまう可能性があります。
ご自身の歯がなくなってしまうと噛み合わせが安定しないことにより味がしない、筋肉の低下することにより歩きにくいなどの症状がでてきてしまうことが言われています。
そんな大切な噛み合わせをひとりひとりのご希望やライフスタイルに寄り添いながら、無理なく続けられる治療をご提案しています。歯科治療が苦手な方にも、安心して通っていただけるように、できるだけ痛みの少ない、削らない治療を心がけていますので、どうぞ気軽にお申し付けください。
まずはお口の健康、噛み合わせからくる違和感、噛み合わせがどうなのか気になるなど、どんなことでも相談をお待ちしています。

経歴
- 日本大学松戸歯学部卒業
- 日本大学松戸歯学部附属病院 研修
- 日本大学大学院松戸市学研究科
- 日本大学松戸歯学部附属病院 歯科矯正学講座 専修医
- 北原学院歯科衛生士専門学校 講師 2年間
- 日本大学松戸歯学部附属病院 歯科矯正学講座 非常勤講師
- その他関東圏の複数の歯科医院に矯正担当として診療に従事
- 亀有矯正歯科 開業
資格・所属
- 日本矯正歯科学会
- 東京矯正歯科学会
- 日本顎咬合学会
- 日本矯正歯科学会 認定医
- 口育士
診療理念
親身な医療をプロの立場で、
ひとりひとりに寄り添う矯正治療を。
当院では、患者さまのライフスタイルに合わせ、ひとりひとりの治療計画、治療する装置の相談をさせてもらい最適な治療を勧めさせていただきます。親身な医療をプロの立場で行うことが当院の診療理念です。
患者さまに寄り添い合うことにより、現在の患者さまの日常生活からの小さな問題に気が付くことができ、一緒に改善していけるように考えて行きたいと思っています。
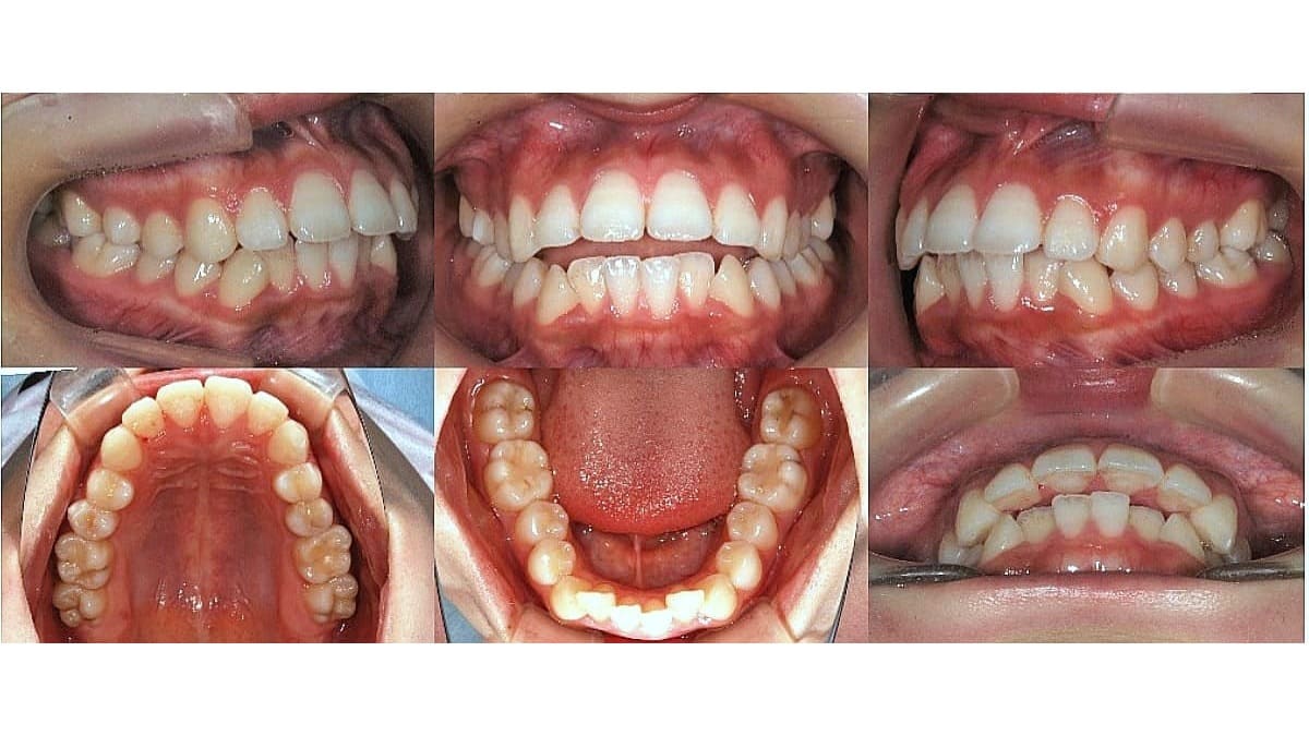
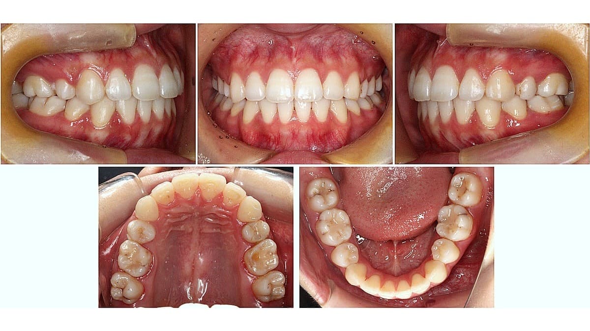
亀有矯正歯科について

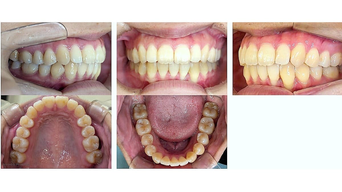
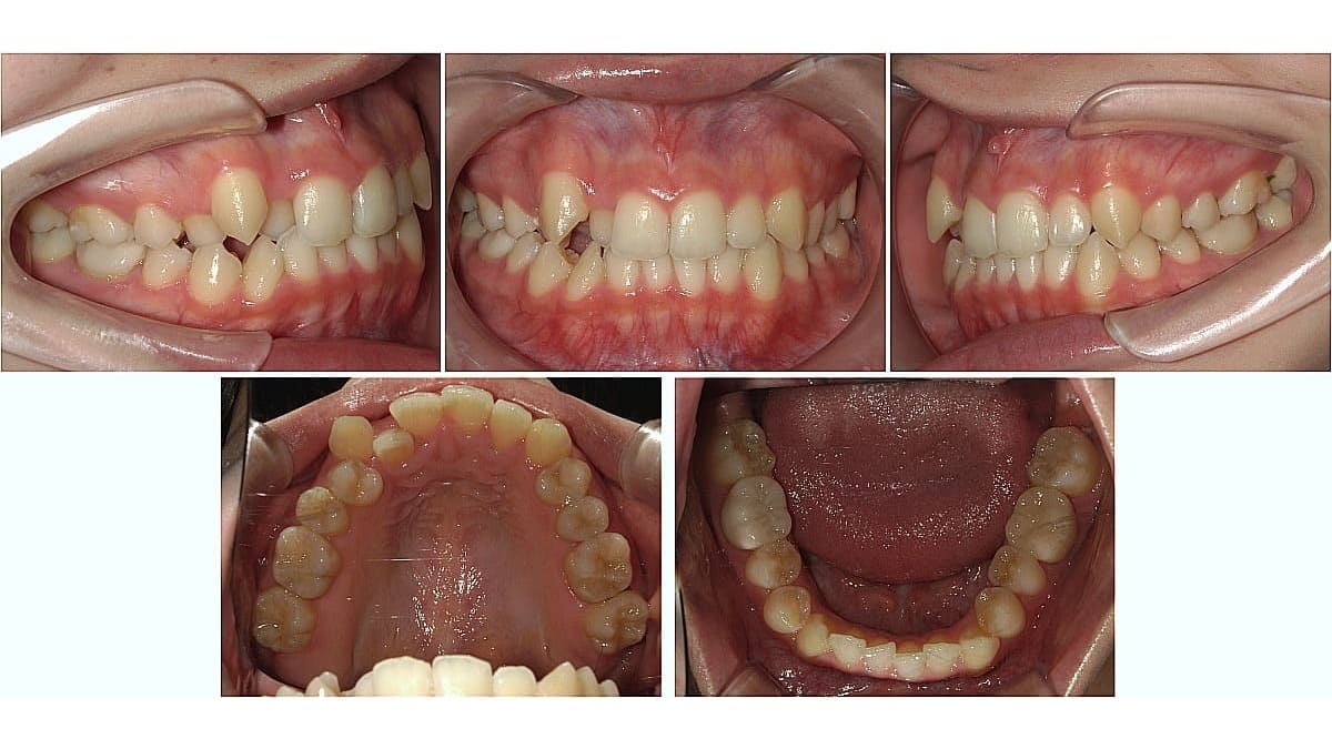
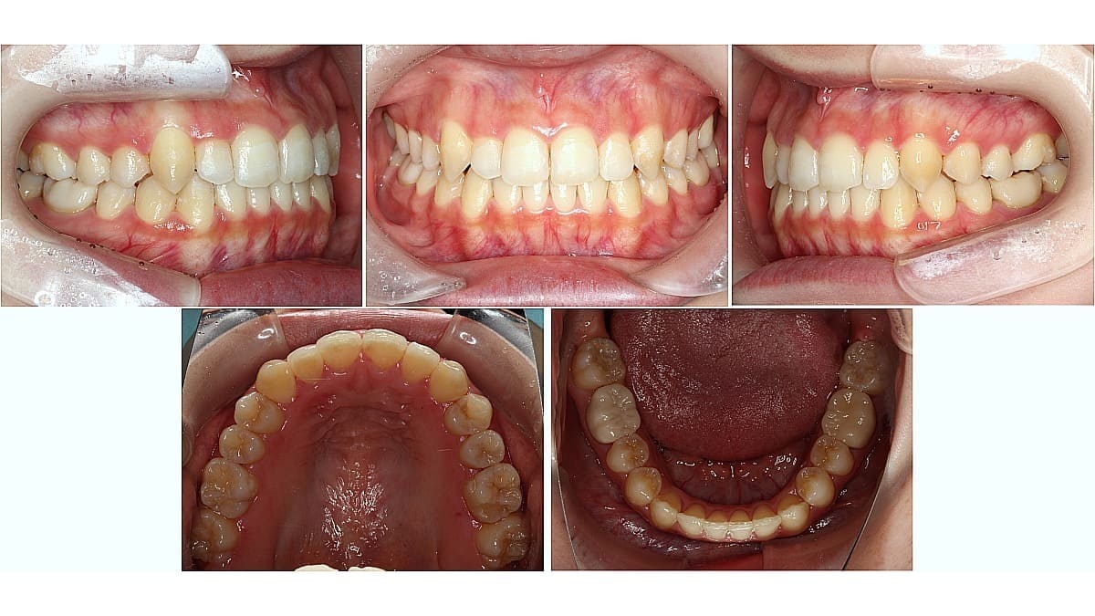
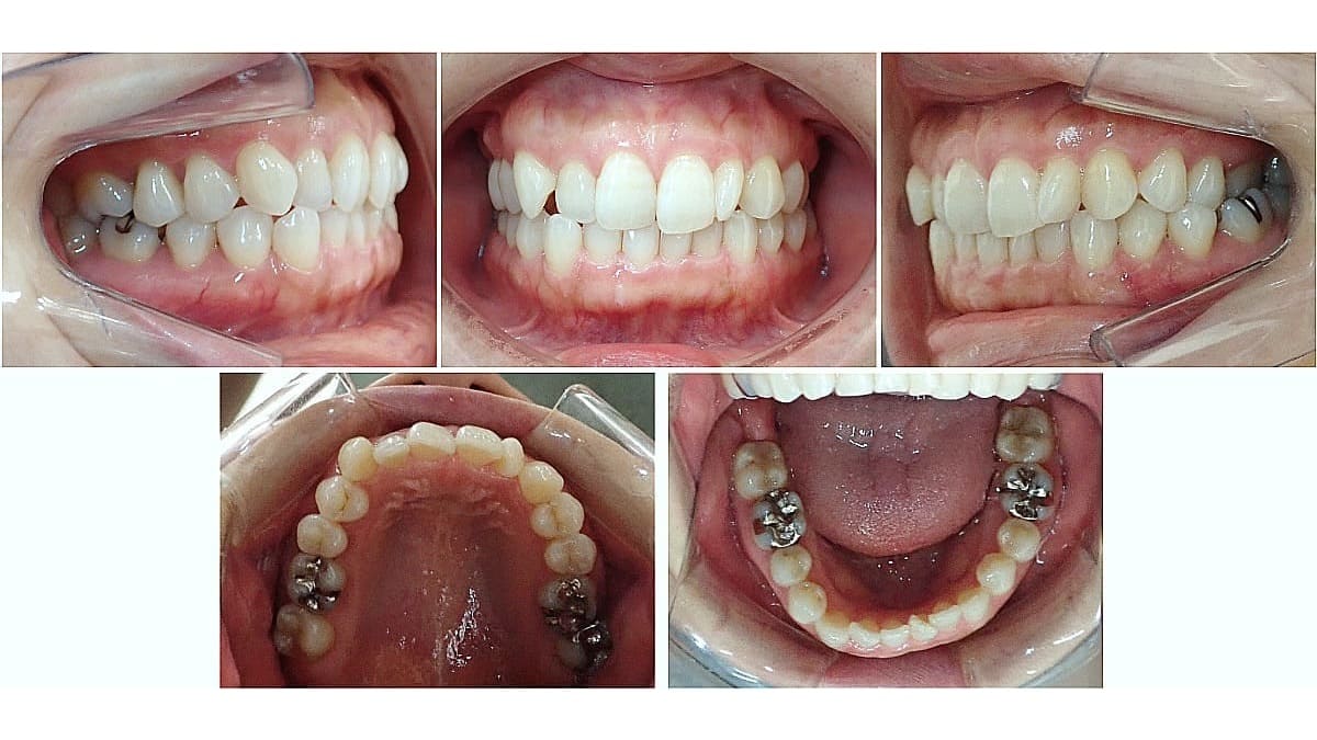
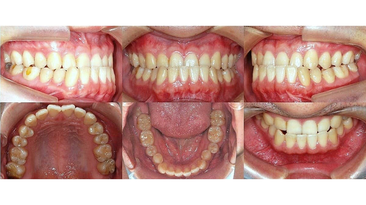
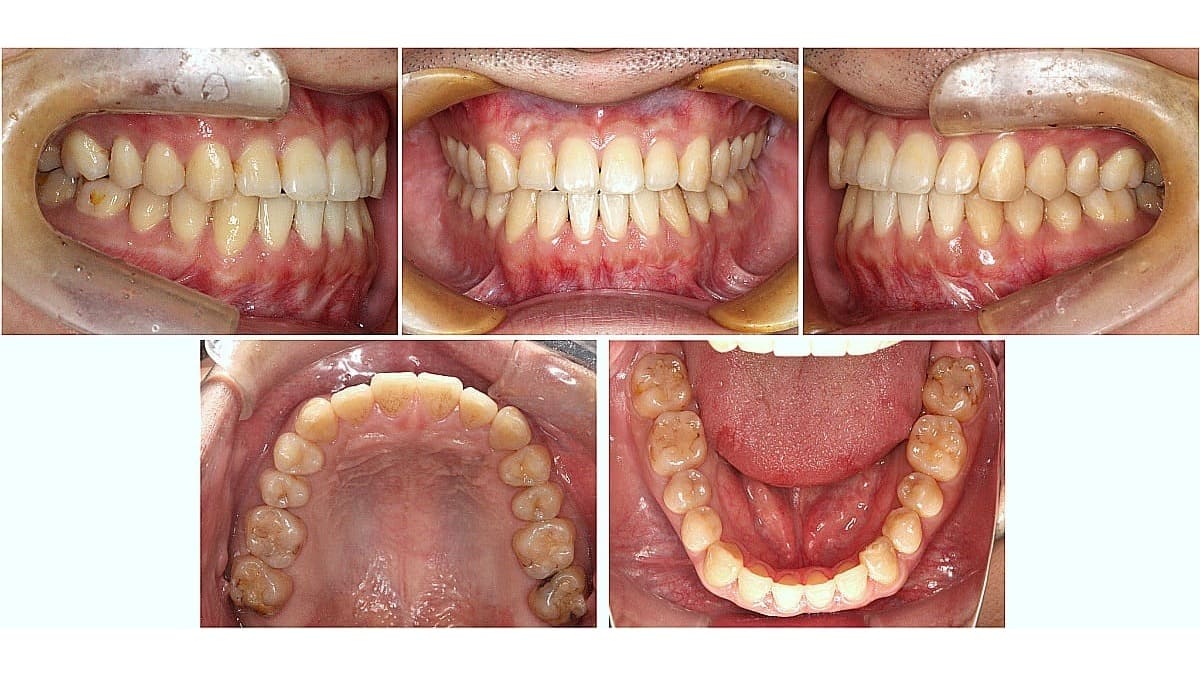
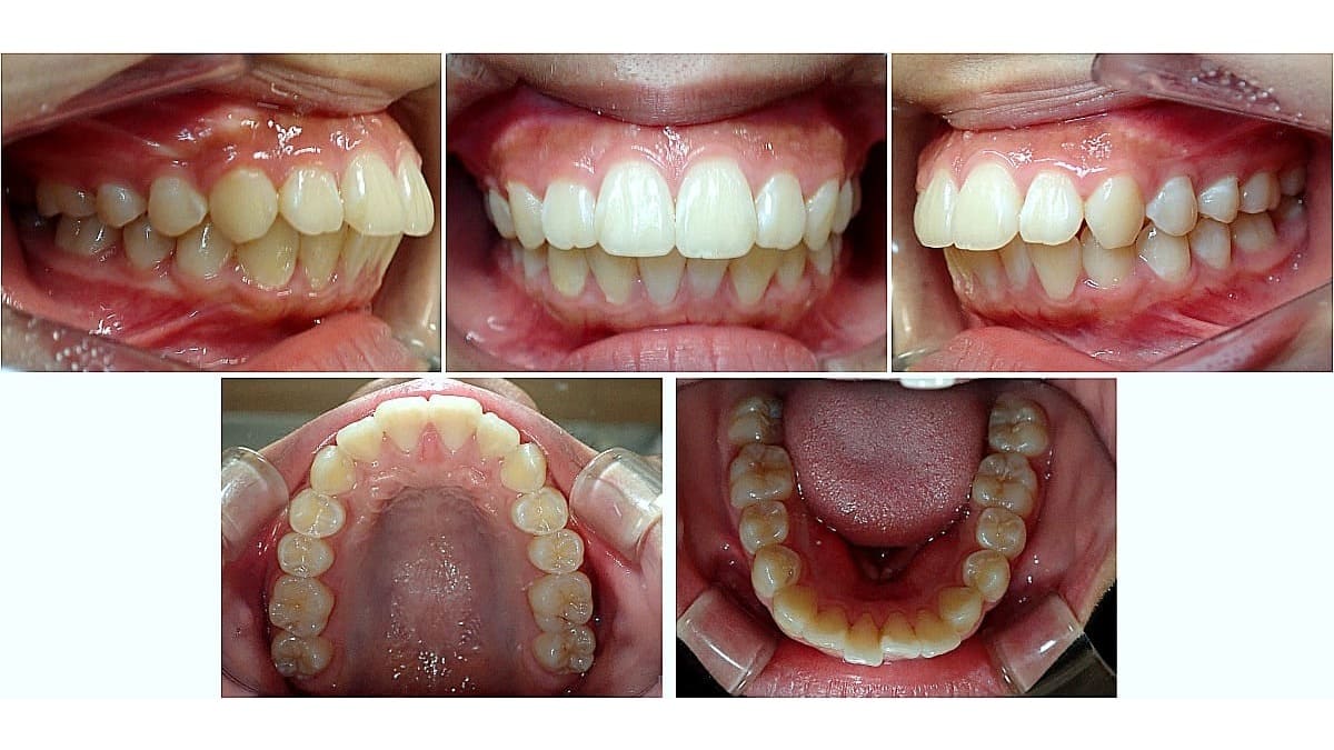
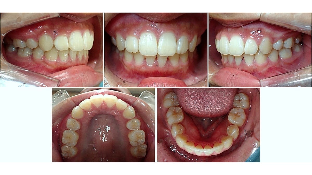
矯正治療の症例紹介
噛み合わせから整える、
矯正治療の実例。
亀有矯正歯科では、歯並びの見た目だけでなく、噛み合わせや顎のバランスまで考えた矯正治療を行っています。症例ごとに歯並びのお悩みや治療方法、治療期間はさまざまです。
矯正症例一覧ページでは、実際に行なった矯正治療の症例をもとに、治療前後の変化やどのような治療を行ったかの考え方をご紹介しています。「自分と似た歯並びの例が知りたい」「治療後のイメージを持ちたい」という方は、ぜひご覧ください。
















































