2026-03-11
矯正症例④:歯がガタガタ

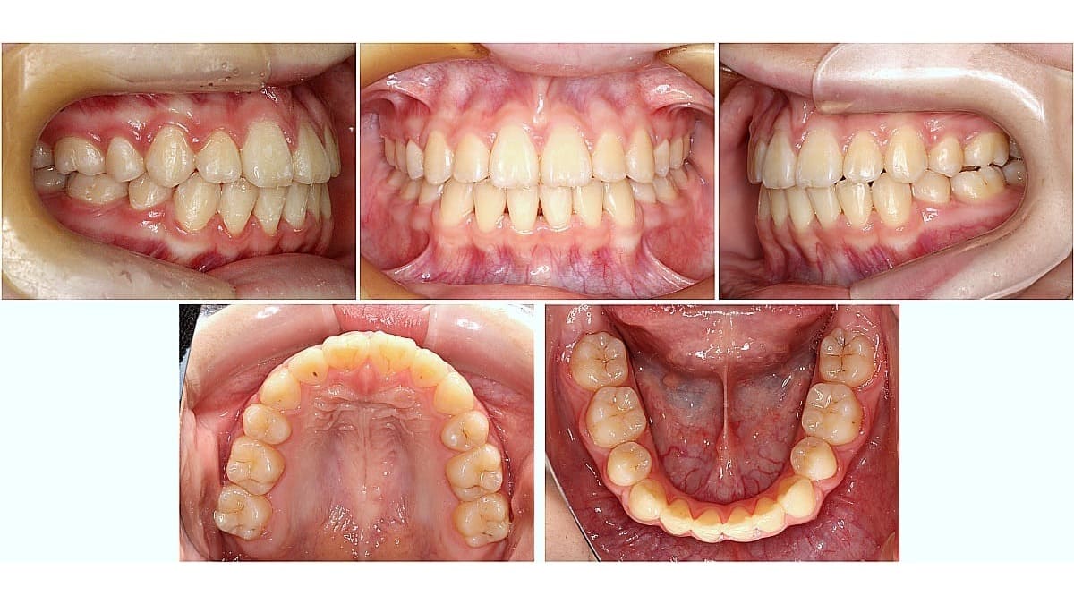
症例
BEFORE AFTER

| 主訴 | 歯がガタガタ |
|---|---|
| 治療内容 | マルチブラケット |
| 治療期間 | 2年1ヶ月 |
| 費用 | 850,000円(税込) |
| 治療のリスク | 歯根吸収、歯肉退縮、歯髄失活 |
Case
2026-03-11


| 主訴 | 歯がガタガタ |
|---|---|
| 治療内容 | マルチブラケット |
| 治療期間 | 2年1ヶ月 |
| 費用 | 850,000円(税込) |
| 治療のリスク | 歯根吸収、歯肉退縮、歯髄失活 |

葛飾区亀有の矯正専門クリニック。噛み合わせと将来の健康を見据えた矯正治療に加え、ホワイトニングや点滴療法などの審美メニューもご用意。歯並びも口元の美しさも、トータルでサポートします。
ご予約はこちら
24時間受付WEB予約