ご予約・お問い合わせ

03-5647-7377

患者さま以外の方03-5647-7260

矯正症例

2026-03-11

著者:

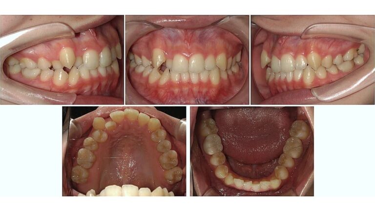
矯正症例⑪:口元が出ている

症例

BEFORE AFTER

Before
After
主訴口元が出ている
治療内容マルチブラケット
治療期間2年3ヶ月
費用850,000円(税込)
治療のリスク歯根吸収、歯肉退縮、歯髄失活

カテゴリ

当医院について

葛飾区亀有の矯正専門クリニック。噛み合わせと将来の健康を見据えた矯正治療に加え、ホワイトニングや点滴療法などの審美メニューもご用意。歯並びも口元の美しさも、トータルでサポートします。

ご予約はこちら

24時間受付WEB予約
INFORMATION

医院情報